AlloDerm™ Regenerative Tissue Matrix (Allograft)
Healthy gum tissue protects your teeth from periodontal disease and sensitivity while giving you a great smile. Routine dental check-ups along with proper brushing are essential for maintaining healthy gums but some patients may require treatment. Gum recession is sometimes treated by retrieving soft tissue from the roof (palate) of your mouth. However, removing a section of your palate creates pain and discomfort that may not be necessary.
AlloDerm RTM allows us to restore your smile without retrieving tissue from the palate. AlloDerm RTM can provide a natural outcome and is an alternative to using your own tissue.
Why Treat Gum Recession
Aggressive tooth brushing and periodontal disease are two primary causes for recession and can lead to the following:
- unattractive smile
- root sensitivity
- loss of supporting bone
- tooth decay
- plaque build-up
- risk of future recession

What is AlloDerm RTM
AlloDerm RTM is donated tissue that has been processed to remove cells creating a regenerative tissue matrix. Its success in soft tissue treatments is documented by more than 10 years of dental applications and research
Potential benefits of AlloDerm RTM
Thousands of clinicians and patients have made AlloDerm RTM their choice for gum recession due to the following advantages:
- excellent safety profile and predictable alternative to your own tissue
- offers natural outcome
- avoids pain and potential complications associated with removing palatal tissue
AlloDerm RTM Safety
AlloDerm RTM is widely used in the medical and dental fields for plastic and reconstructive surgery.
Since its introduction in 1994, over one million AlloDerm RTM grafts have been successfully placed in various applications.
Donor tissue is extensively screened and tested and then undergoes proprietary processing to ensure that AlloDerm RTM is ready for use in patients.
What to Expect
The site may be covered with a dressing material. Recovery instructions can vary for each patient. Instructions may include but are not limited to:
- limit tooth brushing near site
- avoid chewing near site
- take medications as prescribed:
- antibiotics
- pain medication
- mouth rinse
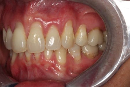
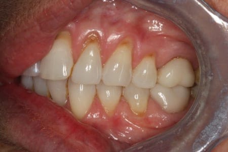
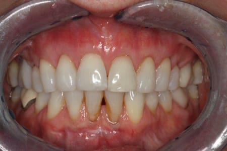
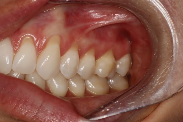
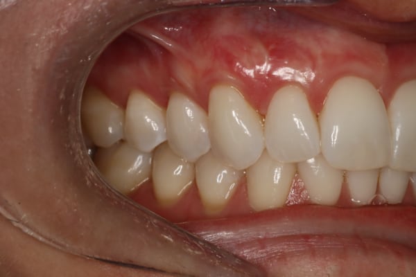
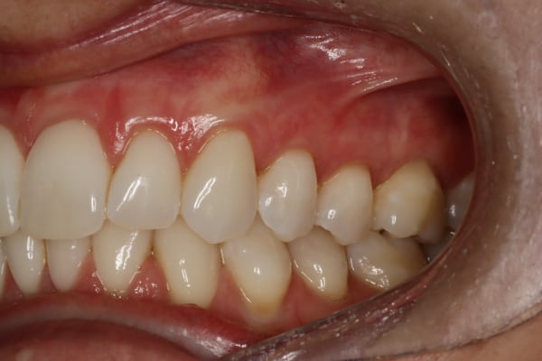
Before and After
To view larger images, please click an image from the set. You can then cycle through the three images.
Photos are of actual patients treated by Dr. VanWinkle.




















