Crown-lengthening Surgery / Gingivectomy
If you have a “gummy” smile or your teeth appear short, you can improve your smile by a minor procedure known as “crown-lengthening.” This procedure removes excess gum and if needed, bone to expose more tooth structure. After your gums heal, your dentist would then place crowns or veneers over the newly exposed teeth to create your new smile.
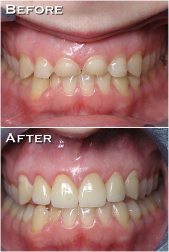
Example 1
Photos are of actual patients treated by Dr. VanWinkle.

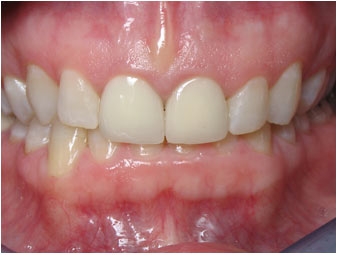
Example 2
1. Short crowns lacking symmetry with other front teeth

2. After crown-lengthening surgery. Ready for new crowns from restorative dentist

3. New crowns completed creating symmetry or a “balanced” appearance.

